What would you like to do?

To view radiographic examples of the various types of root canal
cases we routinely treat, click on any of the categories shown below.

COMPLICATED ANATOMY LARGE LESIONS CALCIFIED CANALS PERFORATION / RESORPTION SEPARATED INSTRUMENTS SURGICAL CASES RETREATMENT / pOST REMOVAL OPEN APICES ACCESS THRU CROWNS Root Canal Case Portfolio
Our Services Case Portfolio How to Refer Why Refer? Useful Links
Root Canal Specialists - Joel B. Chasen DMD, Joshua Dembsky DMD, Elinor Alon DMD, Shimona Malik DMD

Providing excellence in endodontic care (root canals) in Meriden and Stratford, Connecticut.

Serving central and southern Connecticut - Ansonia, Beacon Falls, Berlin, Bethany, Branford, Bridgeport, Bristol, Cheshire, Cromwell, Danbury, Derby, Durham, East Haven, Easton, Fairfield, Hamden, Meriden, Middlefield, Middletown, Milford, Monroe, Naugatuck, New Haven, Newtown, North Branford, North Haven, Norwalk, Orange, Oxford, Plainville, Prospect, Rocky Hill, Seymour, Shelton, Southington, Stratford, Trumbull, Wallingford, Waterbury, West Haven, Weston, Westport, Wolcott, Woodbridge  and more.

Home Our Doctors Locations For Patients For Dentists
Advanced Endodontics Logo - Root Canal Specialists Advanced Endodontics - The Root Canal Specialists of Connecticut
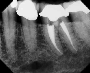
Typical access through a crown NOT done by  Advanced Endodontics